Все новости Узбекистана и мира на сайте Repost.uz

Узбекистан

25.12.2023 | 16:25

В Ташкенте мужчина избил парня до перелома позвоночника

Он также отпинал собаку, которую выгуливал пострадавший.

Фото: Kun.uz

Фото: Kun.uz

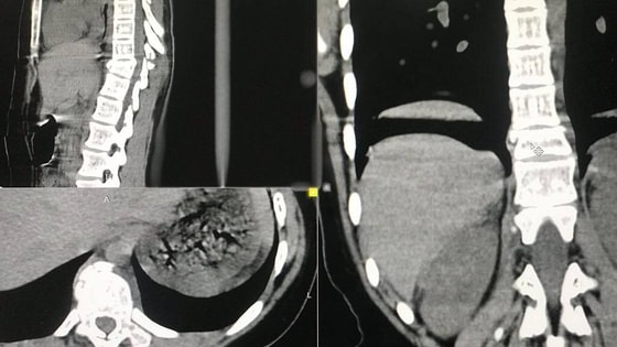
Несколько дней назад в социальных сетях распространилась информация о том, что в Ташкенте 18-летний парень оказался в больнице с переломом позвоночника после драки с 40-летним мужчиной.

Фото: Tashkent_Land

Фото: Tashkent_Land

Как сообщили Repost.uz в пресс-службе ГУВД Ташкента, инцидент произошел 17 декабря около 14:30 неподалеку от школы №246 в Юнусабадском районе.

Следственным отделом УКД ОВД Юнусабадского района было возбуждено уголовное дело по статье 105 (умышленное средней тяжести телесное повреждение) Уголовного кодекса. Следствие продолжается, по окончании будет принято законное решение.

Близкие пострадавшего сообщили Kun.uz, что расследование ведется очень медленно.

telegramБольше новостей в Телеграме Подписаться

Последние новости

Популярные новости