Qozog'istonda 3 yoshli bola 4 ta ignani yutib yubordi

Shifokorlar bir necha kun davomida jarrohlik amaliyotisiz ignalarni olib tashlashgan.

Foto: Sputnik

Foto: Sputnik

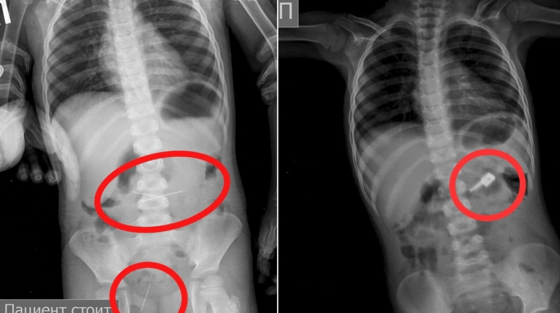
“Sputnik Kazaxstan”ning xabar berishicha\, Qozogʻistonning Taraz shahrida shifokorlar bolaning oshqozonidan tikuv ignalarini olib tashlashgan.

Aniqlanishicha, 3 yoshli bolaning onasi uni kasalxonaga olib kelgan. Rentgenda uning oshqozonida tikuv ignalari borligi koʻrinib, hammasi boʻlib kichkina bemor 4 ta ignani yutib yuborganligi maʼlum boʻlgan.

Shifokorlar bir necha kun davomida endoskopik asbob-uskunalar yordamida jarrohlik amaliyotisiz ignalarni olib tashlashgan.

“Hozirda bolaning ahvoli yaxshi va uyiga ruxsat berilgan”,- deyiladi xabarda.

telegramKo`proq xabarlar Telegram kanalimizda Obuna bo`ling